Cemented/Uncemented Hip Replacement

Cemented/Uncemented Hip Replacement

Welcome to Shankara Ortho Clinic, a leading orthopedic center specializing in Cemented and Uncemented Hip Replacement surgeries. Our clinic is dedicated to providing exceptional orthopedic care, and our team of experienced surgeons is committed to helping patients regain mobility, alleviate pain, and improve their quality of life. We offer advanced treatment options tailored to address hip joint conditions through Cemented and Uncemented Hip Replacement procedures.

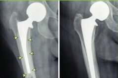
Cemented and Uncemented Hip Replacement are two surgical techniques used to replace the damaged hip joint with artificial components. In Cemented Hip Replacement, a special bone cement is used to fix the artificial components to the patient’s natural bone. Uncemented Hip Replacement, on the other hand, relies on the bone’s natural ability to grow and bond with the implants over time. The choice between cemented and uncemented techniques depends on various factors, including the patient’s age, bone quality, and surgeon’s recommendation.

Our Approach:

At Shankara Ortho Clinic, we are committed to providing the highest quality care using the latest advancements in orthopedic surgery. Our team of orthopedic specialists is experienced in performing Cemented and Uncemented Hip Replacement surgeries and is dedicated to achieving optimal outcomes for our patients. We combine advanced surgical techniques with personalized care and support throughout the treatment journey.

Services Offered:
  1. Comprehensive Evaluation: Our orthopedic surgeons conduct a thorough evaluation of your hip condition, including a detailed medical history review, physical examination, and diagnostic tests such as X-rays or MRI scans. This evaluation helps determine if Cemented or Uncemented Hip Replacement is the most appropriate treatment option for you.

  2. Cemented Hip Replacement: If Cemented Hip Replacement is recommended, our skilled surgeons will use bone cement to fix the artificial components to your natural bone. This technique provides immediate stability and allows for early weight-bearing. It is often preferred for patients with weaker bone quality or certain medical conditions.

  3. Uncemented Hip Replacement: If Uncemented Hip Replacement is the optimal choice for you, our surgeons will utilize implants that have a porous surface designed to encourage natural bone growth and integration. Over time, the patient’s bone will grow and bond with the implants, providing long-term stability and durability.

  4. Rehabilitation and Recovery: We provide comprehensive postoperative care, including personalized rehabilitation programs, physical therapy, and pain management strategies. Our dedicated team of healthcare professionals will guide you through the recovery process, monitor your progress, and support you in regaining optimal hip function.

Why Choose Shankara Ortho Clinic:
  1. Expert Surgeons: Our orthopedic surgeons have extensive experience and expertise in performing Cemented and Uncemented Hip Replacement surgeries. They stay updated with the latest advancements in the field to deliver the highest quality care.

  2. Patient-Centric Care: We prioritize the well-being and comfort of our patients. Our compassionate team provides individualized care, addressing your concerns, and ensuring that you are well-informed and comfortable throughout your treatment journey.

  3. State-of-the-Art Facilities: Shankara Ortho Clinic is equipped with advanced technology and modern facilities to support accurate diagnosis, precise surgical techniques, and effective rehabilitation.

  4. Comprehensive Support: We believe in a holistic approach to healthcare. Our team of healthcare professionals, including physical therapists and pain management specialists, work collaboratively to optimize your recovery and help you regain full hip function.

If you are experiencing hip pain or mobility issues and would like to explore the options of Cemented or Uncemented Hip Replacement surgery, we encourage you to schedule a consultation at Shankara Ortho Clinic.

Feel Something Wrong With Your Bones?

Other Service

Follow Us On

Feel Something Wrong With Your Bones?

Dr. Shashikanth Vokkaleri – Best Orthopaedic Doctor in Yelahanka, Bangalore is widely recognised in his field to skillfully diagnose & treat your injury or condition so you can emerge stronger and safely return to the activities you enjoy.

Our Patient Review

Jhanvi Pujari
Jhanvi Pujari
2023-09-25
We visited shankara ortho clinic for my mother's femur bone fracture , doctor here is so patient and explains what exactly is the issue without wasting time. And his treatment healed my mother's fracture. I made best choice to treat her pain..thanks to Dr. Shashikanth.
Balu Rams
Balu Rams
2023-09-22
Raghavendra Prasad Lolur
Raghavendra Prasad Lolur
2023-08-25
Excellent experience with Dr. V Sashikanth for our Knee problems. Very kind, patience and well experienced doctor.
Nata Raj
Nata Raj
2023-08-24
I got treated for Knee pain I got cured so soon. At low cost Thanks to Dr.Shashikanth he is so kind and very well Experienced Doctor in Yelahanka.
Jaishree bg
Jaishree bg
2023-08-23
Very patient and considerate doctor. Would like to recommend to many others who need orthopedic consulting
S Sek
S Sek
2023-08-22
Dr Shashikanth is a very kind and caring doctor who explains the problems without exaggerating or undermining it which is what I love. The trust that I have developed in him is phenomenal
Chandra Gowda
Chandra Gowda
2023-08-22
Consulted Diabetologist DR.DHANANJAY and Orthopedic DR.SASHIKANTH ,on the same day for my diabetes and knee pain problems,If looking for a safe and family friendly Clinic, this is it. Shankara ortho clinic gives you the best of best treatment one can get, personally I'm extremely satisfied. The Clinic is clean, neat and hygienic and the staff is also friendly. Best clinic across Yelehanka ,Overall this is a 5/5
Chandan R
Chandan R
2023-08-22
Adheera
Adheera
2023-08-22
I have visited this hospital on the bases of my friend recommendation...the Dr.Shashikanth is good 😊 person and good doctor... hospitality 5/5 staff 5/5 overall 5/5
Chethan Srihari A
Chethan Srihari A
2023-08-21
I was a bit nervous at first, regarding my arthritis but then I found out that I was tensed more than what it was necessary, the doctor here is so patient and explains what exactly is the issue instead simply giving the chit, which I found amazing. Definitely recommend this hospital. 😇