Total Ankle Replacement

Total Ankle Replacement

Welcome to Shankara Ortho Clinic, a renowned orthopedic center specializing in total ankle replacement surgery. Our clinic is dedicated to providing exceptional orthopedic care, and our team of experienced surgeons is committed to helping patients find relief from ankle pain, improve ankle function, and regain an active lifestyle. We offer advanced treatment options tailored to address ankle arthritis and promote long-term ankle health.

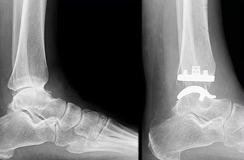
Total ankle replacement, also known as total ankle arthroplasty, is a surgical procedure designed to treat severe ankle arthritis by replacing the damaged joint surfaces with artificial components. This procedure aims to reduce pain, restore joint function, and improve overall ankle mobility. Total ankle replacement is considered an alternative to ankle fusion surgery and is suitable for select patients based on their condition and individual needs.

Our Approach:

At Shankara Ortho Clinic, we take a comprehensive approach to total ankle replacement. Our team of orthopedic specialists is experienced in performing this procedure and is dedicated to achieving optimal outcomes for our patients. We combine advanced surgical techniques with personalized care and support throughout the treatment journey.

Services Offered:
  1. Comprehensive Evaluation: Our orthopedic surgeons will conduct a thorough evaluation of your ankle condition, including a detailed medical history review, physical examination, and diagnostic tests such as X-rays, CT scans, or MRI scans. This evaluation helps determine the extent of your ankle arthritis and guides the development of an individualized treatment plan.

  2. Preoperative Planning: Total ankle replacement is a highly personalized procedure, and our surgeons will work closely with you to discuss the procedure, review your expectations, and address any concerns. Preoperative planning involves selecting the appropriate implant size and type based on your anatomy and optimizing your overall health for a successful surgery.

  3. Total Ankle Replacement Surgery: During the surgical procedure, our skilled surgeons will make an incision and carefully remove the damaged joint surfaces. The artificial components will be precisely positioned and fixed to recreate the natural movement of the ankle joint. The type of implant used may vary based on factors such as your age, activity level, and the extent of joint damage. Our surgeons utilize advanced techniques to ensure optimal placement and stability of the implant.

  4. Rehabilitation and Recovery: Following total ankle replacement, we provide comprehensive postoperative care, including personalized rehabilitation programs and physical therapy. Our goal is to optimize your recovery, restore ankle strength and range of motion, and help you regain full function. Our team of therapists will guide you through specific exercises and activities aimed at improving ankle mobility, stability, and overall function.

Why Choose Shankara Ortho Clinic:
  1. Expert Surgeons: Our orthopedic surgeons have extensive experience and expertise in performing total ankle replacement surgery. They stay updated with the latest advancements in the field to deliver the highest quality care.

  2. Personalized Treatment: We believe in personalized care and treatment plans tailored to each patient’s specific needs. Our team will work closely with you to develop an individualized treatment approach that maximizes your chances of a successful recovery and meets your unique expectations.

  3. State-of-the-Art Facilities: Shankara Ortho Clinic is equipped with advanced technology and modern facilities to support accurate diagnosis, precise surgical techniques, and effective rehabilitation.

  4. Comprehensive Support: We understand the physical and emotional impact of ankle arthritis and the decision to undergo total ankle replacement surgery. Our team of healthcare professionals, including physical therapists and pain management specialists, work collaboratively to optimize your recovery and provide ongoing support throughout your treatment journey.

If you are experiencing severe ankle arthritis or considering total ankle replacement surgery, we encourage you to schedule a consultation at Shankara Ortho Clinic.

Feel Something Wrong With Your Bones?

Other Service

Follow Us On

Feel Something Wrong With Your Bones?

Dr. Shashikanth Vokkaleri – Best Orthopaedic Doctor in Yelahanka, Bangalore is widely recognised in his field to skillfully diagnose & treat your injury or condition so you can emerge stronger and safely return to the activities you enjoy.

Our Patient Review

Jhanvi Pujari
Jhanvi Pujari
2023-09-25
We visited shankara ortho clinic for my mother's femur bone fracture , doctor here is so patient and explains what exactly is the issue without wasting time. And his treatment healed my mother's fracture. I made best choice to treat her pain..thanks to Dr. Shashikanth.
Balu Rams
Balu Rams
2023-09-22
Raghavendra Prasad Lolur
Raghavendra Prasad Lolur
2023-08-25
Excellent experience with Dr. V Sashikanth for our Knee problems. Very kind, patience and well experienced doctor.
Nata Raj
Nata Raj
2023-08-24
I got treated for Knee pain I got cured so soon. At low cost Thanks to Dr.Shashikanth he is so kind and very well Experienced Doctor in Yelahanka.
Jaishree bg
Jaishree bg
2023-08-23
Very patient and considerate doctor. Would like to recommend to many others who need orthopedic consulting
S Sek
S Sek
2023-08-22
Dr Shashikanth is a very kind and caring doctor who explains the problems without exaggerating or undermining it which is what I love. The trust that I have developed in him is phenomenal
Chandra Gowda
Chandra Gowda
2023-08-22
Consulted Diabetologist DR.DHANANJAY and Orthopedic DR.SASHIKANTH ,on the same day for my diabetes and knee pain problems,If looking for a safe and family friendly Clinic, this is it. Shankara ortho clinic gives you the best of best treatment one can get, personally I'm extremely satisfied. The Clinic is clean, neat and hygienic and the staff is also friendly. Best clinic across Yelehanka ,Overall this is a 5/5
Chandan R
Chandan R
2023-08-22
Adheera
Adheera
2023-08-22
I have visited this hospital on the bases of my friend recommendation...the Dr.Shashikanth is good 😊 person and good doctor... hospitality 5/5 staff 5/5 overall 5/5
Chethan Srihari A
Chethan Srihari A
2023-08-21
I was a bit nervous at first, regarding my arthritis but then I found out that I was tensed more than what it was necessary, the doctor here is so patient and explains what exactly is the issue instead simply giving the chit, which I found amazing. Definitely recommend this hospital. 😇