Revision for Aseptic Loosening/Infection

Revision for Aseptic Loosening/Infection

Welcome to Shankara Ortho Clinic, a renowned orthopedic center specializing in Revision Knee Replacement surgeries for aseptic loosening and infection. Our clinic is dedicated to providing exceptional orthopedic care, and our team of experienced surgeons is committed to helping patients regain knee function, alleviate pain, and improve their quality of life. We offer advanced treatment options tailored to address complications such as aseptic loosening and infection in previously replaced knees.

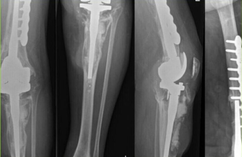
Revision Knee Replacement is a surgical procedure performed when a previously replaced knee joint has developed complications, such as aseptic loosening or infection. Aseptic loosening occurs when the artificial components of the knee joint become loose due to factors such as wear and tear, implant failure, or bone loss. Infection can occur when bacteria enter the knee joint, leading to pain, swelling, and limited mobility. Revision Knee Replacement involves removing the existing components and replacing them with new ones to restore knee function and alleviate pain.

Our Approach:

At Shankara Ortho Clinic, we understand the challenges and complexities associated with revision knee replacement surgeries. Our experienced orthopedic surgeons specialize in addressing these complications and are dedicated to providing the highest quality care. We prioritize thorough evaluation, precise surgical techniques, and compassionate support to ensure optimal outcomes for our patients.

Services Offered:
  1. Comprehensive Evaluation: Our orthopedic surgeons conduct a detailed evaluation of your knee condition, including a thorough review of your medical history, physical examination, and diagnostic tests such as X-rays, MRIs, or blood tests. This evaluation helps us identify the underlying cause of aseptic loosening or infection and develop an appropriate treatment plan.

  2. Revision Knee Replacement Surgery: Our skilled surgeons perform revision knee replacement surgeries using advanced techniques and state-of-the-art facilities. The procedure involves removing the existing components, thoroughly cleaning the joint to address infection, addressing bone loss if present, and replacing the components with new implants to restore knee function and stability.

  3. Comprehensive Infection Management: In cases of infection, our team employs a multidisciplinary approach to manage and treat the infection effectively. This may involve a combination of surgical debridement, antibiotic therapy, and other specialized treatments to eradicate the infection and promote healing.

  4. Rehabilitation and Recovery: We provide comprehensive postoperative care, including personalized rehabilitation programs, physical therapy, and pain management strategies. Our dedicated team of healthcare professionals will guide you through the recovery process, monitor your progress, and support you in regaining optimal knee function.

Why Choose Shankara Ortho Clinic:
  1. Expert Surgeons: Our orthopedic surgeons have extensive experience and expertise in performing revision knee replacement surgeries for aseptic loosening and infection. They stay updated with the latest advancements in the field to deliver the highest quality care.

  2. Patient-Centric Care: We prioritize the well-being and comfort of our patients. Our compassionate team provides individualized care, addressing your concerns, and ensuring that you are well-informed and comfortable throughout your treatment journey.

  3. State-of-the-Art Facilities: Shankara Ortho Clinic is equipped with advanced technology and modern facilities to support accurate diagnosis, precise surgical techniques, and effective rehabilitation.

  4. Multidisciplinary Approach: Our clinic employs a multidisciplinary team approach, collaborating with infectious disease specialists and other healthcare professionals to provide comprehensive infection management for the best possible outcomes.

If you have undergone a previous knee replacement and are experiencing complications such as aseptic loosening or infection, we encourage you to schedule a consultation at Shankara Ortho Clinic. Our experienced orthopedic surgeons will evaluate your condition, discuss treatment options, and provide personalized

Feel Something Wrong With Your Bones?

Other Service

Follow Us On

Feel Something Wrong With Your Bones?

Dr. Shashikanth Vokkaleri – Best Orthopaedic Doctor in Yelahanka, Bangalore is widely recognised in his field to skillfully diagnose & treat your injury or condition so you can emerge stronger and safely return to the activities you enjoy.

Our Patient Review

Jhanvi Pujari
Jhanvi Pujari
2023-09-25
We visited shankara ortho clinic for my mother's femur bone fracture , doctor here is so patient and explains what exactly is the issue without wasting time. And his treatment healed my mother's fracture. I made best choice to treat her pain..thanks to Dr. Shashikanth.
Balu Rams
Balu Rams
2023-09-22
Raghavendra Prasad Lolur
Raghavendra Prasad Lolur
2023-08-25
Excellent experience with Dr. V Sashikanth for our Knee problems. Very kind, patience and well experienced doctor.
Nata Raj
Nata Raj
2023-08-24
I got treated for Knee pain I got cured so soon. At low cost Thanks to Dr.Shashikanth he is so kind and very well Experienced Doctor in Yelahanka.
Jaishree bg
Jaishree bg
2023-08-23
Very patient and considerate doctor. Would like to recommend to many others who need orthopedic consulting
S Sek
S Sek
2023-08-22
Dr Shashikanth is a very kind and caring doctor who explains the problems without exaggerating or undermining it which is what I love. The trust that I have developed in him is phenomenal
Chandra Gowda
Chandra Gowda
2023-08-22
Consulted Diabetologist DR.DHANANJAY and Orthopedic DR.SASHIKANTH ,on the same day for my diabetes and knee pain problems,If looking for a safe and family friendly Clinic, this is it. Shankara ortho clinic gives you the best of best treatment one can get, personally I'm extremely satisfied. The Clinic is clean, neat and hygienic and the staff is also friendly. Best clinic across Yelehanka ,Overall this is a 5/5
Chandan R
Chandan R
2023-08-22
Adheera
Adheera
2023-08-22
I have visited this hospital on the bases of my friend recommendation...the Dr.Shashikanth is good 😊 person and good doctor... hospitality 5/5 staff 5/5 overall 5/5
Chethan Srihari A
Chethan Srihari A
2023-08-21
I was a bit nervous at first, regarding my arthritis but then I found out that I was tensed more than what it was necessary, the doctor here is so patient and explains what exactly is the issue instead simply giving the chit, which I found amazing. Definitely recommend this hospital. 😇